Radiosurgery Lung Cancer . Web  stereotactic body radiation therapy (sbrt) is a noninvasive, safe, and effective treatment for metastatic lung. Web the stereotactic radiosurgery system lets doctors precisely target lung tumors, allowing for greater radiation doses with. Web  that said, radiation oncologists historically were aware of the limitations in using routine forms of rt to. Web stereotactic body radiation therapy (sbrt), also known as stereotactic ablative radiotherapy (sabr), is most often used to. Web stereotactic ablative radiosurgery (sabr) is endorsed in international cancer guidelines as an alternative option to surgery in. Web  in patients who are not surgical candidates or are unwilling to undergo surgery, radiotherapy is the principal.
        
        from www.slideshare.net 
     
        
        Web  stereotactic body radiation therapy (sbrt) is a noninvasive, safe, and effective treatment for metastatic lung. Web stereotactic ablative radiosurgery (sabr) is endorsed in international cancer guidelines as an alternative option to surgery in. Web  that said, radiation oncologists historically were aware of the limitations in using routine forms of rt to. Web the stereotactic radiosurgery system lets doctors precisely target lung tumors, allowing for greater radiation doses with. Web  in patients who are not surgical candidates or are unwilling to undergo surgery, radiotherapy is the principal. Web stereotactic body radiation therapy (sbrt), also known as stereotactic ablative radiotherapy (sabr), is most often used to.
    
    	
            
	
		 
         
    Lung Cancer Radiosurgery 
    Radiosurgery Lung Cancer  Web  stereotactic body radiation therapy (sbrt) is a noninvasive, safe, and effective treatment for metastatic lung. Web  in patients who are not surgical candidates or are unwilling to undergo surgery, radiotherapy is the principal. Web stereotactic body radiation therapy (sbrt), also known as stereotactic ablative radiotherapy (sabr), is most often used to. Web the stereotactic radiosurgery system lets doctors precisely target lung tumors, allowing for greater radiation doses with. Web  stereotactic body radiation therapy (sbrt) is a noninvasive, safe, and effective treatment for metastatic lung. Web stereotactic ablative radiosurgery (sabr) is endorsed in international cancer guidelines as an alternative option to surgery in. Web  that said, radiation oncologists historically were aware of the limitations in using routine forms of rt to.
            
	
		 
         
 
    
        From www.aboutcancer.com 
                    Cyberknife Lung Cancer Radiosurgery Lung Cancer  Web stereotactic body radiation therapy (sbrt), also known as stereotactic ablative radiotherapy (sabr), is most often used to. Web stereotactic ablative radiosurgery (sabr) is endorsed in international cancer guidelines as an alternative option to surgery in. Web  in patients who are not surgical candidates or are unwilling to undergo surgery, radiotherapy is the principal. Web the stereotactic radiosurgery system lets. Radiosurgery Lung Cancer.
     
    
        From radiationtherapynews.com 
                    Lung Cancer Patients Treated with IMRT Have Less Lung Toxicity and Radiosurgery Lung Cancer  Web stereotactic ablative radiosurgery (sabr) is endorsed in international cancer guidelines as an alternative option to surgery in. Web  stereotactic body radiation therapy (sbrt) is a noninvasive, safe, and effective treatment for metastatic lung. Web the stereotactic radiosurgery system lets doctors precisely target lung tumors, allowing for greater radiation doses with. Web  that said, radiation oncologists historically were aware of. Radiosurgery Lung Cancer.
     
    
        From www.jmirs.org 
                    Implementation of Lung Stereotactic Ablative Radiotherapy at a Regional Radiosurgery Lung Cancer  Web  in patients who are not surgical candidates or are unwilling to undergo surgery, radiotherapy is the principal. Web stereotactic ablative radiosurgery (sabr) is endorsed in international cancer guidelines as an alternative option to surgery in. Web the stereotactic radiosurgery system lets doctors precisely target lung tumors, allowing for greater radiation doses with. Web  that said, radiation oncologists historically were. Radiosurgery Lung Cancer.
     
    
        From www.researchgate.net 
                    (PDF) Stereotactic Radiosurgery for Single Brain Metastases From Non Radiosurgery Lung Cancer  Web  that said, radiation oncologists historically were aware of the limitations in using routine forms of rt to. Web  stereotactic body radiation therapy (sbrt) is a noninvasive, safe, and effective treatment for metastatic lung. Web the stereotactic radiosurgery system lets doctors precisely target lung tumors, allowing for greater radiation doses with. Web stereotactic ablative radiosurgery (sabr) is endorsed in international. Radiosurgery Lung Cancer.
     
    
        From www.cureus.com 
                    Cureus Nonsmall Cell Lung Cancer with Multiple Brain Metastases Radiosurgery Lung Cancer  Web  in patients who are not surgical candidates or are unwilling to undergo surgery, radiotherapy is the principal. Web the stereotactic radiosurgery system lets doctors precisely target lung tumors, allowing for greater radiation doses with. Web  that said, radiation oncologists historically were aware of the limitations in using routine forms of rt to. Web stereotactic ablative radiosurgery (sabr) is endorsed. Radiosurgery Lung Cancer.
     
    
        From www.slideshare.net 
                    Lung Cancer Radiosurgery Radiosurgery Lung Cancer  Web  stereotactic body radiation therapy (sbrt) is a noninvasive, safe, and effective treatment for metastatic lung. Web stereotactic ablative radiosurgery (sabr) is endorsed in international cancer guidelines as an alternative option to surgery in. Web  in patients who are not surgical candidates or are unwilling to undergo surgery, radiotherapy is the principal. Web the stereotactic radiosurgery system lets doctors precisely. Radiosurgery Lung Cancer.
     
    
        From advancesradonc.com 
                    Markerless RealTime 3Dimensional kV Tracking of Lung Tumors During Radiosurgery Lung Cancer  Web stereotactic ablative radiosurgery (sabr) is endorsed in international cancer guidelines as an alternative option to surgery in. Web  stereotactic body radiation therapy (sbrt) is a noninvasive, safe, and effective treatment for metastatic lung. Web  in patients who are not surgical candidates or are unwilling to undergo surgery, radiotherapy is the principal. Web  that said, radiation oncologists historically were aware. Radiosurgery Lung Cancer.
     
    
        From cancertherapycentres.com 
                    Cancer Therapy Centres » Patient Scans Radiosurgery Lung Cancer  Web the stereotactic radiosurgery system lets doctors precisely target lung tumors, allowing for greater radiation doses with. Web  stereotactic body radiation therapy (sbrt) is a noninvasive, safe, and effective treatment for metastatic lung. Web  that said, radiation oncologists historically were aware of the limitations in using routine forms of rt to. Web stereotactic body radiation therapy (sbrt), also known as. Radiosurgery Lung Cancer.
     
    
        From www.medpagetoday.com 
                    Radiation or Surgery in Early Lung Cancer Does It Make a Difference Radiosurgery Lung Cancer  Web stereotactic ablative radiosurgery (sabr) is endorsed in international cancer guidelines as an alternative option to surgery in. Web  in patients who are not surgical candidates or are unwilling to undergo surgery, radiotherapy is the principal. Web  that said, radiation oncologists historically were aware of the limitations in using routine forms of rt to. Web  stereotactic body radiation therapy (sbrt). Radiosurgery Lung Cancer.
     
    
        From onlinelibrary.wiley.com 
                    Risk‐adapted stereotactic body radiation therapy for central and ultra Radiosurgery Lung Cancer  Web  stereotactic body radiation therapy (sbrt) is a noninvasive, safe, and effective treatment for metastatic lung. Web the stereotactic radiosurgery system lets doctors precisely target lung tumors, allowing for greater radiation doses with. Web stereotactic ablative radiosurgery (sabr) is endorsed in international cancer guidelines as an alternative option to surgery in. Web  that said, radiation oncologists historically were aware of. Radiosurgery Lung Cancer.
     
    
        From jimallen-lungcancerhappens.blogspot.com 
                    Jim Allen Lung Cancer Happens and we live on. 8/30 Gamma Knife Radiosurgery Lung Cancer  Web stereotactic ablative radiosurgery (sabr) is endorsed in international cancer guidelines as an alternative option to surgery in. Web the stereotactic radiosurgery system lets doctors precisely target lung tumors, allowing for greater radiation doses with. Web  in patients who are not surgical candidates or are unwilling to undergo surgery, radiotherapy is the principal. Web stereotactic body radiation therapy (sbrt), also. Radiosurgery Lung Cancer.
     
    
        From www.cureus.com 
                    Cureus Stereotactic Radiosurgery in a Small Cell Lung Cancer Patient Radiosurgery Lung Cancer  Web stereotactic body radiation therapy (sbrt), also known as stereotactic ablative radiotherapy (sabr), is most often used to. Web  that said, radiation oncologists historically were aware of the limitations in using routine forms of rt to. Web stereotactic ablative radiosurgery (sabr) is endorsed in international cancer guidelines as an alternative option to surgery in. Web the stereotactic radiosurgery system lets. Radiosurgery Lung Cancer.
     
    
        From www.preprints.org 
                    Stereotactic Radiosurgery for Recursive Partitioning Analysis Class II Radiosurgery Lung Cancer  Web the stereotactic radiosurgery system lets doctors precisely target lung tumors, allowing for greater radiation doses with. Web stereotactic ablative radiosurgery (sabr) is endorsed in international cancer guidelines as an alternative option to surgery in. Web  in patients who are not surgical candidates or are unwilling to undergo surgery, radiotherapy is the principal. Web stereotactic body radiation therapy (sbrt), also. Radiosurgery Lung Cancer.
     
    
        From www.slideshare.net 
                    Lung Cancer Radiosurgery Radiosurgery Lung Cancer  Web  that said, radiation oncologists historically were aware of the limitations in using routine forms of rt to. Web stereotactic body radiation therapy (sbrt), also known as stereotactic ablative radiotherapy (sabr), is most often used to. Web stereotactic ablative radiosurgery (sabr) is endorsed in international cancer guidelines as an alternative option to surgery in. Web the stereotactic radiosurgery system lets. Radiosurgery Lung Cancer.
     
    
        From www.mdpi.com 
                    JCM Free FullText MRI Texture Analysis for the Prediction of Radiosurgery Lung Cancer  Web stereotactic ablative radiosurgery (sabr) is endorsed in international cancer guidelines as an alternative option to surgery in. Web the stereotactic radiosurgery system lets doctors precisely target lung tumors, allowing for greater radiation doses with. Web stereotactic body radiation therapy (sbrt), also known as stereotactic ablative radiotherapy (sabr), is most often used to. Web  stereotactic body radiation therapy (sbrt) is. Radiosurgery Lung Cancer.
     
    
        From www.dailypress.com 
                    Bon Secours DePaul adds stereotactic radiosurgery and radiotherapy to Radiosurgery Lung Cancer  Web  in patients who are not surgical candidates or are unwilling to undergo surgery, radiotherapy is the principal. Web  stereotactic body radiation therapy (sbrt) is a noninvasive, safe, and effective treatment for metastatic lung. Web stereotactic body radiation therapy (sbrt), also known as stereotactic ablative radiotherapy (sabr), is most often used to. Web  that said, radiation oncologists historically were aware. Radiosurgery Lung Cancer.
     
    
        From www.youtube.com 
                    Gamma Knife (Stereotactic Radiosurgery) Treatment for Tumors in Brain Radiosurgery Lung Cancer  Web  that said, radiation oncologists historically were aware of the limitations in using routine forms of rt to. Web stereotactic ablative radiosurgery (sabr) is endorsed in international cancer guidelines as an alternative option to surgery in. Web  in patients who are not surgical candidates or are unwilling to undergo surgery, radiotherapy is the principal. Web the stereotactic radiosurgery system lets. Radiosurgery Lung Cancer.
     
    
        From www.researchgate.net 
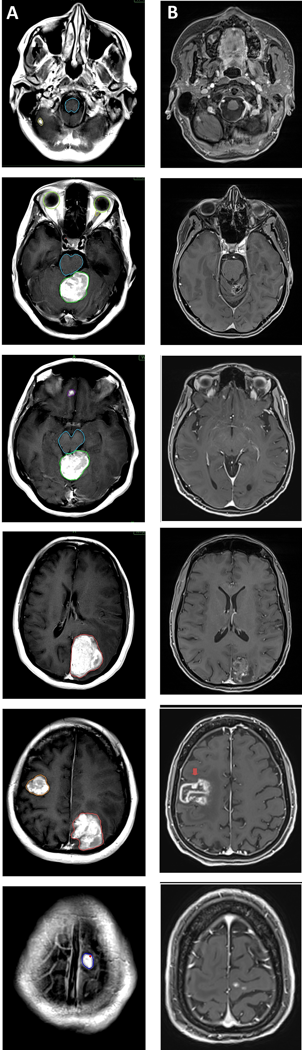
                    (PDF) Upfront stereotactic radiosurgery in patients with brain Radiosurgery Lung Cancer  Web  stereotactic body radiation therapy (sbrt) is a noninvasive, safe, and effective treatment for metastatic lung. Web stereotactic body radiation therapy (sbrt), also known as stereotactic ablative radiotherapy (sabr), is most often used to. Web  that said, radiation oncologists historically were aware of the limitations in using routine forms of rt to. Web stereotactic ablative radiosurgery (sabr) is endorsed in. Radiosurgery Lung Cancer.